Weshalb Röntgen für eine umfassende Diagnostik unerlässlich ist
06. November 2025In der Kieferorthopädie ist eine präzise und umfassende Diagnostik der Grundstein für eine erfolgreiche und sichere Behandlung. Röntgenaufnahmen spielen hierbei eine entscheidende Rolle. Wir beleuchten, wann und warum welche Röntgenbilder zum Einsatz kommen.
Röntgen gehört zur Diagnostik beim Kieferorthopäden
Vor der Diagnose und Therapieempfehlung führt der Fachzahnarzt für Kieferorthopädie eine umfassende Anamnese durch, prüft Kiefer und Zähne sowie die Atem- und Schluckfunktion des Patienten. Zudem ist es notwendig, eine cranio-mandibuläre Dysfunktion (CMD) auszuschließen, bevor die Behandlung startet. Ergänzend werden bei uns intraorale Scans sowie Fotos von Gesicht und Zähnen angefertigt. Ein entscheidender Teil der Diagnostik sind auch Röntgenaufnahmen. Auf diesen Aspekt gehen wir im Folgenden detailliert ein.
Zwei Röntgenbilder sind Standard in der Kieferorthopädie
In der Routine der kieferorthopädischen Untersuchung sind zwei Arten von Röntgenbildern im Einsatz: das Panorama-Röntgen und das seitliche Schädelröntgen.
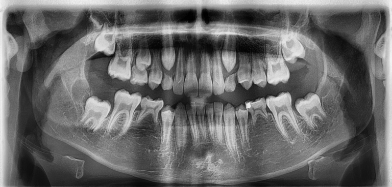
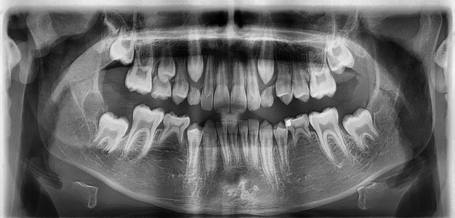
Das Panorama-Röntgen (Übersichtsaufnahme)
Dieses Bild ermöglicht uns eine umfassende Bewertung, die folgendes einschließt:
- die Struktur und Position der Zähne sowie den Zustand der Zahnwurzeln
- die Verfassung der Kiefergelenke
- die Beschaffenheit der Nasennebenhöhlen
- die allgemeine Qualität des Knochengewebes
- die Anordnung der Zähne zueinander
Häufig unter den Bezeichnungen Panoramaschichtaufnahme oder Orthopantomogramm (PSA / OPG / OPTG) geführt, bietet diese Aufnahme eine detaillierte zweidimensionale Ansicht des gesamten Kiefers in einer flachen Ebene. Diese Art von Röntgenbild nutz übrigens auch Ihr Zahnarzt. Informieren Sie uns gerne, wenn bereits eine Aufnahme erstellt wurde, diese können wir uns gerne anfordern.

Warum Panoramoröntgen?
Bei Kindern und Jugendlichen ist es wichtig zu wissen, ob alle bleibenden Zähne einschließlich der Weisheitszähne angelegt sind. Das Bild zeigt auch, ob die Zähne genug Platz haben, um durchzubrechen und wie weit die Zähne schon entwickelt sind. Das hilft uns zu beurteilen, wann der richtige Zeitpunkt für den Behandlungsbeginn ist.
Die Panoramaaufnahme gibt aber auch Hinweise auf mögliche Schwierigkeiten bei der Behandlung: Fehlende, zusätzliche oder verlagerte Zähne sind zu beachten. Außerdem ist anhand der Aufnahme eine Wurzelresorption, also ein Abbau der Zahnwurzel, erkennbar. Und wir bekommen einen Überblick über Füllungen, Kronen, Brücken, Implantate sowie Karies.

Das Fernröntgenseitenbild
Bei einer kieferorthopädischen Behandlung werden Zähne in eine neue Position verschoben. Vorher ist es wichtig zu wissen, wie die Zähne im Knochen verankert sind. Zähne dürfen immer nur so weit bewegt werden, dass noch ausreichend Knochen und ein gesunder Zahnhalteapparat vorhanden sind. Andernfalls könnte sich das Zahnfleisch zurückziehen und der Zahnhalteapparat geschädigt werden. Im schlimmsten Fall können sich Zähne lockern oder sogar verloren gehen. Weil dies auf der Panorama-Aufnahme nicht ausreichend beurteilt werden kann, ist noch ein zweites Röntgenbild, das sogenannte Fernröntgenseitenbild (FRS), nötig.
Warum ein Fernröntgenseitenbild?
Bei Kindern und Jugendlichen gibt das Bild Auskunft über die Wachstumsrichtung des Kiefers. Dieses Wissen ist entscheidend für die Planung von Therapiezeit und -art sowie die Auswahl der Zahnspange.
Anhand der seitlichen zweidimensionalen Röntgenaufnahme beurteilt dr. Anna Schroen, wie die Kiefer zueinander positioniert sind. Sie erkennt, wie die Frontzähne von der Seite aus betrachtet im Knochen stehen. Dadurch ist es möglich zu beurteilen, wie dick die Knochenschicht ist, die die Zahnwurzeln umgibt. Davon kann sie ableiten, welche Zahnverschiebungen sicher möglich sind - und vor allem, welche nicht.
Weitere Röntgendiagnostik in der Kieferorthopädie
Neben diesen beiden Standard-Aufnahmen können weitere Röntgenbilder nützlich sein.

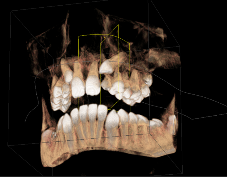
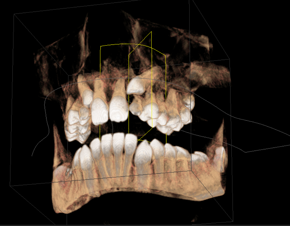
3D-Röntgen in der Kieferorthopädie
Immer häufiger wird in modernen kieferorthopädischen Praxen ein weiteres innovatives diagnostisches Verfahren eingesetzt. Die digitale (dentale) Volumentomographie (DVT) dient der dreidimensionalen Darstellung der Zähne im Kieferknochen. Sie kommt mit einer vergleichsweise geringen Strahlenbelastung aus.
Die Anwendung der DVT ist auf den Kopfbereich beschränkt. Deshalb wird sie ausschließlich im Bereich der Zahnmedizin, der Mund-, Kiefer- und Gesichtschirurgie sowie im HNO-Bereich eingesetzt. Die DVT-Aufnahmen eignen sich hervorragend zur Lageanalyse von verlagerten Zähnen, bei Asymmetrien oder zur digitalen Therapieplanung. Für die Planung einer Alignertherapie oder computergestützter maßgeschneiderter Bracketsysteme sind sie daher ideal. Dieses relativ neue bildgebende Verfahren gehört aktuell nicht zum Leistungskatalog der gesetzlichen Krankenkassen.
Handwurzel-Aufnahmen
Mit einem speziellen Röntgen der Hand, der sogenannten Handwurzel-Aufnahme, kann der Kieferorthopäde bei Teenagern beurteilen, ob noch ein Restwachstum des Kiefers zu erwarten ist oder ob das Wachstum bereits abgeschlossen ist. Diese Information ist für die Auswahl der Zahnspange und die Tragezeit der Nachtspange wichtig.
Röntgen-Diagnostik von einzelnen Zähnen
Einzelzahnaufnahmen oder Bissflügelaufnahmen zeigen Detailinformationen über einzelne Zähne oder Zahngruppen. Sie können in bestimmten Situationen sinnvoll sein, um den Zustand eines Zahns und des Knochens, der ihn umgibt, zu beurteilen. Sie werden zum Beispiel zur Kariesdiagnostik eingesetzt.
Kieferorthopäden fürs Röntgen besonders gut ausgestattet
In unserer Praxis, Am Stein 7, haben wir ein digitales, strahlungsarmes Gerät, das sowohl Übersichtsaufnahmen sowie FRS erstellen kann. Mit speziellen High-End-CsI-Sensoren kann die Scanzeit erheblich reduziert werden, beim FRS z.B. auf 1,9 Sekunden.
Standardmäßig verfügen Kieferorthopäden außerdem über Auswertungsanalysen, die es ihm erlauben, die genaue Zielposition der Zähne zu planen. Diese Analysen bauen auf wissenschaftlichen Erkenntnissen auf und berücksichtigen auch das Kieferwachstum. Dadurch lassen sich Risiken der kieferorthopädischen Behandlung (Lockerung von Zähnen, Rückgang von Knochen und Zahnfleisch, Schädigungen der Zahnwurzel) minimieren. Auch eine Einschätzung des Schwierigkeitsgrads und der voraussichtlichen Behandlungsdauer ist auf diese Weise möglich.
Röntgen in der Kieferorthopädie: Wie schädlich die Strahlung ist
Laut Bundesamt für Strahlenschutz sind bei den niedrigen Dosen, die beim Röntgen eingesetzt werden, keine sicheren Angaben zum Strahlenrisiko möglich. Vorsorglich wird angenommen, dass „jede Röntgenuntersuchung mit einem gewissen – wenn auch entsprechend geringen – Strahlenrisiko verbunden ist“. Ein Patient sollte aus der Untersuchung einen medizinischen Nutzen ziehen, der das Röntgen rechtfertigt. Ärzte müssen darauf achten, dass die Strahlenexposition möglichst gering ausfällt.
Die meisten kieferorthopädischen Praxen setzen heute außerdem auf moderne, digitale Röntgengeräte, die mit deutlich weniger Strahlung auskommen als ältere, analoge Röntgengeräte. Als Vergleich wird gerne ein Langstreckenflug herangezogen: Wer eine Stunde lang in 10-12 km Höhe im Flugzeug sitzt, ist einer Strahlenbelastung von etwa 5,5 µSv ausgesetzt. Die Fernröntgenseitenaufnahme kommt im Vergleich dazu gerade mal auf 2,3 µSv (analoges Röntgen) beziehungsweise 1,1 µSv (digitales Röntgen). Wir sind digital.
Fazit: Röntgenbilder beim Kieferorthopäden bieten wichtige Informationen
Zu Beginn einer kieferorthopädischen Behandlung braucht es in der Regel aussagekräftige Röntgenbilder. Sie sind ein wichtiges Hilfsmittel, um den Zustand der Zähne und des Kiefers zu beurteilen und die Therapie individuell für den Patienten zu planen. Verzichtet der Kieferorthopäde auf das Röntgen, unterschreitet er damit die kieferorthopädischen Standards (LG Düsseldorf Urteil vom 14.03.2019, Az.: 34 O 1/19). Im Verlauf der Behandlung und zum Abschluss kann es sinnvoll sein, weitere Röntgenaufnahmen zur Kontrolle anzufertigen.
Quellen:
- Das Gesundheitsportal medondo.health
- Hülsmann, Michael: Endodontie. Georg Thieme, 2008, S. 85
- Grupen, Claus: Grundkurs Strahlenschutz. Springer, 2008, S. 176
- Visser, H. et al. (2001): Dose reduction by direct-digital cephalometric radiography. In: Angle Orthod. 2001 Jun;71(3):159-63. PMID 11407766
- Bundesamt für Strahlenschutz: Röntgendiagnostik - Nutzen und Risiken (2018), https://www.bfs.de/SharedDocs/Downloads/BfS/DE/broschueren/ion/stko-roentgen.pdf?__blob=publicationFile&v=6
- Kiefer, H., Lambrecht,T., Roth, J., Strahlenexposition von analogen und digitalen Zahnstaten und Panoramaschichtaufnahmen, Schweiz Monatsschr Zahnmed, Vol 114: 7/2004
- Schneider, M.: Radiologische Bildgebung in der Zahnheilkunde, Zahnmedizin up2date 5/2013, 477–501, Thieme Verlag
- ICRP, 2007. The 2007 Recommendations of the International Commission on Radiological Protection. ICRP Publication 103. Ann. ICRP 37 (2-4) Long, Hu & Wu, Zhouqiang & Yan, Xinyu & Wang, Qingxuan & Liu, Lu & Wang, Yan & Jian, Fan & Liao, Lina & Li, Xiaolong & Lai, Wenli. (2020). An objective system for appraising clear aligner treatment difficulty: clear aligner treatment complexity assessment tool (CAT–CAT). BMC Oral Health. 20. 10.1186/s12903-020-01300-6.
- Sheng, Yan & Guo, Hong-Ming & Bai, Yu-Xing & Li, Song. (2019). Dehiscence and fenestration in anterior teeth Dehiszenz und Fenestration im Frontzahnbereich: Comparison before and after orthodontic treatment Vergleich vor und nach kieferorthopädischer Behandlung. Journal of Orofacial Orthopedics / Fortschritte der Kieferorthopädie. 81. 10.1007/s00056-019-00196-4.
- George A Mandelaris, Rodrigo Neiva, Leandro Chambrone. Cone-Beam Computed Tomography and Interdisciplinary Dentofacial Therapy: An American Academy of Periodontology Best Evidence Review Focusing on Risk Assessment of the Dentoalveolar Bone Changes Influenced by Tooth Movement, J Periodontol 2017 Oct; 88(10):960-977
- Agnieszka Srebrzyńska-Witek, Rafał Koszowski, Ingrid Różyło-Kalinowska Relationship between anterior mandibular bone thickness and the angulation of incisors and canines-a CBCT study, Clin Oral Investig. 2018 Apr;22(3):1567-1578. doi: 10.1007/s00784-017-2255-3. Epub 2017 Oct 23
- Cinzia Maspero, Francesca Gaffuri, Iury O Castro, Valentina Lanteri, Alessandro Ugolini, Marco Farronato. Correlation between Dental Vestibular-Palatal Inclination and Alveolar Bone Remodeling after Orthodontic Treatment: A CBCT Analysis. Materials (Basel). 2019 Dec 16;12(24):4225.
- Paula Guerino, Mariana Marquezan, Maurício Barbieri Mezomo, Kaline Thumé Antunes, Renésio Armindo Grehs, Vilmar Antônio Ferrazzo. Tomographic Evaluation of the Lower Incisor's Bone Limits in Mandibular Symphysis of Orthodontically Untreated Adults. Biomed Res Int. 2017; 2017:9103749.